ΟΖΟΙ ΤΟΥ ΘΥΡΕΟΕΙΔΟΥΣ ΑΔΕΝΑ

Τσινές Γεώργιος, Ειδικός Ακτινοδιαγνώστης
Διευθυντής Ακτινολογικού Εργαστηρίου Γενικής Κλινικής Πειραιώς «Ιπποκράτης»

Ο θυρεοειδής είναι ο ενδοκρινής αδένας που εντοπίζεται στο πρόσθιο, κάτω τμήμα του αυχένα, κάτω από το λάρυγγα και πάνω από τις κλείδες.(Εικόνα Α).


(Εικόνα Α)

Ο θυρεοειδικός όζος (όγκος) είναι μία εστιακή διόγκωση επάνω ή μέσα στον αδένα. Οι όζοι είναι συχνοί και απαντώνται σε ποσοστό 5-7% του πληθυσμού με την κλινική εξέταση (ψηλάφηση), αλλά στις μέρες μας, που το υπερηχογράφημα του τραχήλου έχει γίνει ρουτίνα, υπολογίζεται ότι σε ποσοστό 25 έως και 70% των ατόμων διαπιστώνονται υπερηχογραφικά όζοι του θυρεοειδούς. Οι όζοι εντοπίζονται συχνότερα στις γυναίκες. Είναι λιγότερο συχνοί σε νεότερους ασθενείς και αυξάνουν σε συχνότητα με την ηλικία. Μερικές φορές αναπτύσσονται πολλαπλοί όζοι στο ίδιο άτομο. Κάθε φορά που ψηλαφάται διόγκωση ή ογκίδιο στον θυρεοειδή, θα πρέπει να αποκλειστεί το ενδεχόμενο κακοήθειας. Ευτυχώς, στην πλειοψηφία τους οι όζοι αυτοί είναι καλοήθεις. Οι περισσότεροι ασθενείς με όζους θυρεοειδούς δεν παρουσιάζουν συμπτώματα και η ανεύρεσή τους είναι τυχαία είτε σε μία φυσική εξέταση ρουτίνας, είτε από μία απεικονιστική μελέτη στον αυχένα για άλλους λόγους (αξονική ή μαγνητική τομογραφία αυχενα ή θώρακος, τρίπλεξ καρωτίδων κλπ., αλλά κυρίως με το υπερηχογράφημα του τραχήλου). Ωστόσο, ορισμένοι ασθενείς μπορεί να αντιληφθούν μία σταδιακή αύξηση του μεγέθους του αδένα και να παραπονεθούν για μια ασαφή πίεση ή ενόχληση κατά την κατάποση. Οι όζοι μπορεί να οφείλονται σε απλή υπερανάπτυξη του «φυσιολογικού» θυρεοειδικού ιστού, σε κύστεις που περιέχουν κολλοειδές υγρό, σε φλεγμονές (θυρεοειδίτιδα) ή σε μάζα (καλοήθη ή κακοήθη). Δεν είναι συχνά εφικτό για τον ιατρό να καθορίσει εάν ένας όζος είναι κακοήθης μόνο από τη φυσική εξέταση και τις εξετάσεις αίματος.

Υπολογίζεται ότι σε 5-10% των ασθενών με συμπαγή όζο ή όζους ου θυρεοειδούς μπορούν να αναγνωσθεί καρκίνος, που είναι συχνότερος σε νεαρά άτομα ή ηλικιωμένους άνω των 65-70 ετών, στις γυναίκες, σε ακτινογραφία του τραχήλου, κλπ.

Οι ενδοκρινολόγοι βασίζονται σε μεγάλο βαθμό σε 3 ειδικές εξετάσεις που τους βοηθούν να αποφασίσουν ποιοι ασθενείς με όζους του θυρεοειδούς θα πρέπει να οδηγηθούν στο χειρουργείο:

Υπερηχογράφημα θυρεοειδούς (US)

Βιοψία δια λεπτής βελόνης (FNA)

Σπινθηρογράφημα θυροειδούς (Scan)

Τι είναι το Υπερηχογράφημα θυρεοειδούς;

Το υπερηχογράφημα θυρεοειδούς είναι μία εξέταση για τη λήψη εικόνων του αδένα χρησιμοποιώντας κύματα υπερήχων (ηχητικά κύματα υψηλής συχνότητας). Τα κύματα αυτά διαπερνούν το δέρμα, αντανακλώνται στις εσωτερικές δομές του τραχήλου και μετατρέπονται σε σειρά εικόνων πραγματικού χρόνου μέσω του ηλεκτρονικού υπολογιστή. Το υπερηχογράφημα δεν εκπέμπει ακτινοβολία στον ασθενή, είναι απόλυτα ασφαλές για τον εξεταζόμενο και μπορεί να επαναλαμβάνεται συχνά. Μπορεί να αποκαλύψει όζους ακόμα και 2-3 χιλιοστών. Η υπερηχογραφία μπορεί καταρχήν να διαχωρίσει τους κυστικούς όζους του θυρεοειδούς (όζοι που περιέχουν υγρό) από τους συμπαγείς. Οι κυστικοί όζοι είναι συνήθως καλοήθεις, ενώ οι συμπαγείς είναι δυνητικώς κακοήθεις. Οι περισσότεροι όζοι, ωστόσο, έχουν και κυστικά και συμπαγή στοιχεία, ενώ οι αμιγώς κυστικοί είναι σχετικά σπάνιοι. Συνεπώς, η υπερηχογραφία από μόνη της σπανίως μπορεί να πιστοποιήσει το διαχωρισμό μεταξύκαλοήθους και κακοήθους όζου. Μία πολύτιμη βοήθεια των υπερήχων είναι στο να καθοδηγήσουν τη βελόνα βιοψίας σωστά, ούτως ώστε να ληφθεί επαρκές δείγμα από την ύποπτη βλάβη για κυτταρολογική εξέταση. Η καθοδήγηση αυτή επιτρέπει τη λήψη δείγματος από το συμπαγές τμήμα των όζων που είναι και κυστικοί και συμπαγείς. Έτσι, αποφεύγεται η παρακέντηση του γειτονικού φυσιολογικού θυρεοειδικού ιστού σε μικρούς όζους.

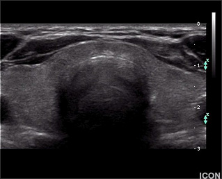
Ακόμα και όταν η βιοψία θυρεοειδούς δείξει καλοήθεια, το μέγεθος του όζου θα πρέπει να παρακολουθείται. Το υπερηχογράφημα παρέχει αντικειμενικό και ακριβή τρόπο ανίχνευσης μεταβολών στο μέγεθος του όζου. Ένας καλοήθης όζος (από τη βιοψία) που παραμένει σταθερός σε μέγεθος ή που φαίνεται να μικραίνει σε διαδοχικά υπερηχογραφήματα, δεν είναι πιθανό να είναι κακοήθης και να απαιτεί χειρουργική αφαίρεση. (Εικόνα Β, Γ).


Εικόνα Β (Φυσιολογικός θυρεοειδής αδένας σε υπερηχογράφημα)


Εικόνα Γ (Συμπαγής όζος στον αριστερό λοβό του θυρεοειδούς σε υπερηχογράφημα)

Τι είναι η Βιοψία δια βελόνης (FNA);

Η βιοψία με λεπτή βελόνα είναι μία απλή διαδικασία που μπορεί να πραγματοποιηθεί στο ιατρείο. Συνήθως, χρησιμοποιείται τοπική αναισθησία στο δέρμα πάνω από το σημείο παρακέντησης, αλλά δεν χρειάζεται αναισθησία του ασθενούς. Έτσι, μπορεί να επιστρέψει στο σπίτι ή την εργασία του αμέσως μετά χωρίς ενοχλήσεις. Η εξέταση παρέχει ειδικές πληροφορίες σχετικά με ένα ή περισσότερους συγκεκριμένους όζους, που δεν μπορούν να αποκτηθούν με καμία άλλη εξέταση, πλην της χειρουργικής βιοψίας. Παρόλο που η αξιοπιστία της εξέτασης δεν είναι απόλυτη, η βιοψία δια βελόνης παρέχει αρκετές πληροφορίες στις οποίες μπορεί να βασιστεί η απόφαση για θεραπεία στο 75% των περιπτώσεων, χωρίς ανάγκη για επιπρόσθετη διαγνωστική μελέτη. Η χρήση λεπτής βελόνης έχει μειώσει δραστικά τον αριθμό των ασθενών που υποβάλλονταν σε μη απαραίτητη επέμβαση για καλοήθεις όζους. Ωστόσο, περίπου 15-20% των δειγμάτων της βιοψίας κρίνονται ανεπαρκή για να εξαχθεί ασφαλές συμπέρασμα, δηλαδή ο κυτταρολόγος ή παθολογοανατόμος δεν μπορεί να είναι σίγουρος εάν ένας όζος είναι κακοήθης ή καλοήθης. Η περίπτωση αυτή είναι συχνή με κυστικούς όζους, που περιέχουν πολύ λίγα κύτταρα θυρεοειδούς για να εξεταστούν. Στις περιπτώσεις αυτές, ο έμπειρος ιατρός μπορεί να βασιστεί σε άλλα κριτήρια για να λάβει την απόφαση για χειρουργική επέμβαση. Η βιοψία δια λεπτής βελόνης μπορεί να επαναληφθεί σε όσους ασθενείς απέτυχε η αρχική προσπάθεια να τεθεί διάγνωση, χρησιμοποιώντας καθοδήγηση υπό υπερηχογραφικό έλεγχο όπου κρίνεται απαραίτητη (Εικόνα Δ).


Εικόνα Δ

Τι είναι το σπινθηρογράφημα θυρεοειδούς;

Τo σπινθηρογράφημα θυρεοειδούς είναι μία εξέταση που παρέχει εικόνες του θυρεοειδούς μετά από χορήγηση μικρής δόσης ραδιενεργού ισότοπου από το στόμα ή από τη φλέβα, το οποίο φυσιολογικά απορροφάται από τα θυρεοειδικά κύτταρα. Το σπινθηρογράφημα μπορεί να μας δείξει εάν ένας όζος υπερλειτουργεί (θερμός όζος), ή δεν λειτουργεί (ψυχρός όζος). Επειδή οι υπερλειτουργικοί όζοι σπανίως παρουσιάζουν κακοήθεια, η ανάδειξη θερμών όζων συνήθως απαλλάσσει τον ασθενή από την ανάγκη για βιοψία δια λεπτής βελόνης. Ένας θερμός όζος που προκαλεί υπερθυρεοειδισμό μπορεί να αντιμετωπιστεί με ραδιενεργό ιώδιο ή επέμβαση. Ευτυχώς, στη μεγάλη τους πλειοψηφία οι θυρεοειδικοί όζοι είναι καλοήθεις. Δυστυχώς όμως, το σπινθηρογράφημα εμφανίζει συνήθως τους περισσότερους όζους (καλοήθεις και κακοήθεις) ως ψυχρούς ή μη λειτουργικούς. Συνεπώς, παρόλο που όλες οι περιπτώσεις κακοήθειας θυρεοειδούς απεικονίζονται ως μη λειτουργικές στην εξέταση, η πλειοψηφία των μη λειτουργικών όζων είναι καλοήθεις. Για το λόγο αυτό, το σπινθηρογράφημα θυρεοειδούς έχει συγκεκριμένες ενδείξεις, όπως για παράδειγμα σε ασθενείς όπου συνυπάρχει υπερθυρεοειδισμός μαζί με τον όζο (Εικόνα Ε).


Εικόνα Ε

Θυρεοειδεκτομή

Οι επεμβάσεις θυρεοειδούς πραγματοποιούνται σε ασθενείς με διάφορες παθήσεις του αδένα, που εκδηλώνονται τόσο με καλοήθεις όσο και με κακοήθεις θυρεοειδικούς όζους, υπερτροφία του αδένα (βρογχοκήλη), και υπερλειτουργία του αδένα. Οι επεμβάσεις που μπορούν να γίνουν στον θυρεοειδή περιλαμβάνουν:

Βιοψία ή εκτομή του όζου, που σήμερα εκτελείται σπανιότατα

Λοβεκτομή, δηλαδή εκτομή του ενός λοβού του θυρεοειδούς

Υφολική θυρεοειδεκτομή

Ολική θυρεοειδεκτομή

Υπάρχουν συγκεκριμένες ενδείξεις για κάθε μία από αυτές τις επεμβάσεις. Το κύριο ρίσκο κάθε επέμβασης στο θυρεοειδή είναι τυχόν βλάβη σε σημαντικές ανατομικές δομές που γειτνιάζουν με τον αδένα, όπως οι παραθυρεοειδείς αδένες (που ελέγχουν τα επίπεδα ασβεστίου) και το παλίνδρομο λαρυγγικό νεύρο (που νευρώνει τις φωνητικές χορδές). Για ασθενείς με θηλώδες ή θυλακιώδες νεόπλασμα, οι περισσότεροι (αλλά όχι όλοι) χειρουργοί συστήνουν ολική ή ευρεία υφολική θυρεοειδεκτομή. Για ασθενείς με μεγάλα (>1.5 εκατ.) πρωτοπαθή νεοπλάσματα και για κάθε μυελοειδές νεόπλασμα, απαιτείται ευρύτερος λεμφαδενικός καθαρισμός για την αφαίρεση τυχόν λεμφαδενικών μεταστάσεων. Η θυρεοειδεκτομή είναι μία άριστη μέθοδος θεραπείας ασθενών με καλοήθη πολυοζώδη βρογχοκήλη και/ή μεγάλες βρογχοκήλες, που είτε υπερλειτουργούν, είτε έχουν φυσιολογική λειτουργία. Για ασθενείς με όζους στη μία πλευρά του θυρεοειδούς, η εκτομή του ενός λοβού του θυρεοειδούς (λοβεκτομή) μπορεί με επιτυχία να διορθώσει τέτοια προβλήματα. Σε ασθενείς με υπερθυρεοειδισμό λόγω νόσου Grave ή πολυοζώδους βρογχοκήλης, πολλοί χειρουργοί συνιστούν ολική λοβεκτομή στην πλευρά με τους μεγαλύτερους όζους και υφολική ή σχεδόν ολική στην άλλη πλευρά. Άλλοι πάλι προχωρούν σε ολική θυρεοειδεκτομή σε σύνθετες περιπτώσεις με νόσο και στους δύο λοβούς.

Τελικά πώς αντιμετωπίζονται οι θυρεοειδικοί όζοι;

Χρησιμοποιώντας τις παραπάνω εξετάσεις, ο θεράπων ιατρός θα συστήσει την καταλληλότερη θεραπεία αντιμετώπισης των όζων. Στους περισσότερους ασθενείς που φαίνεται πως έχουν έναν καλοήθη όζο δεν απαιτείται συγκεκριμένη θεραπεία, και χρειάζονται μόνο παρακολούθηση με εξετάσεις αίματος και υπερηχογράφημα ανά τακτά χρονικά διαστήματα. Μερικοί ιατροί συνταγογραφούν λεβοθυροξίνη (Τ4) με την ελπίδα να σταματήσουν την ανάπτυξη του όζου ή να μειώσουν το μέγεθος ψυχρών όζων. Για τους θερμούς όζους χρησιμοποιείται ραδιενεργό ιώδιο. Εάν τίθεται υποψία κακοήθειας, συστήνεται πάντοτε χειρουργική αντιμετώπιση.

Είναι σημαντικό να τονίσουμε ότι ο καρκίνος του θυρεοειδούς είναι στη συντριπτική πλειοψηφία του ιάσιμη νόσος με την κατάλληλη χειρουργική επέμβαση και πιθανώς τη χορήγηση μετεγχειρητικά ραδιενεργού ιωδίου και μόνο στη σπάνια περίπτωση του αμετάπλαστου καρκίνου υπάρχει κίνδυνος για τη ζωή.


Επιστροφή