ΑΙΜΟΡΡΑΓΙΑ ΠΕΠΤΙΚΟΥ ΣΥΣΤΗΜΑΤΟΣ

Βασιλική Αρβανίτη, Γαστρεντερολόγος-Ηπατολόγος-Ενδοσκόπος, υπ. Διδάκτωρ Πανεπιστημίου Πατρών, Μετεκπαιδευθείσα στο Λονδίνο
Επιμελήτρια Γαστρεντερολογικής Κλινικής, Γενικής Κλινικής Πειραιώς «Ιπποκράτης»

Τι είναι το πεπτικό σύστημα;

Το πεπτικό ή αλλιώς γαστρεντερικό σύστημα θα μπορούσαμε τα το περιγράψουμε σαν έναν σωλήνα που ξεκινάει από το στόμα, συνεχίζει στον οισοφάγο, στόμαχο, λεπτό και παχύ έντερο και καταλήγει στον πρωκτό. Η βασική του λειτουργία είναι η πέψη της τροφής και η απορρόφηση των θρεπτικών ουσιών.

Τι σημαίνει αιμορραγία πεπτικού συστήματος;

Αιμορραγία σημαίνει απώλεια αίματος από κάποιο σημείο και μπορεί να είναι οξεία ή χρονία. Οξεία αιμορραγία λέμε όταν κάποιος χάνει απότομα μια ποσότητα αίματος , τη βλέπει και μπορεί να μπεί σε κίνδυνο η ζωή του ενώ στη χρόνια αιμορραγία η απώλεια αίματος είναι συνήθως μικρότερη, μπορεί σπάνια να είναι ορατή με γυμνό μάτι συχνότερα όμως δεν την βλέπουμε, μπορεί επίσης να να εμφανίζεται κατά περιόδους ή να είναι συνεχής.

Πως μπορώ να καταλάβω πως χάνω αίμα;

Όταν έχουμε οξεία αιμορραγία του πεπτικού τα συμπτώματα μπορεί να είναι από πολύ ήπια μέχρι πολύ σοβαρά, αναλόγως από το ποιο όργανο αιμορραγεί και τι βαρύτητας είναι η αιμορραγία. Ο ασθενής μπορεί να έχει δει μαύρα κόπρανα (μέλαινα κένωση) , βυσσινί ή κατακόκκινα κόπρανα, να κάνει εμετό με αίμα ή ο εμετός να είναι καφέ, να έχει ζαλάδα, τάση λιποθυμίας, λιποθυμία, κούραση, αδυναμία, ωχρότητα, ταχυκαρδία αλλά μπορεί να παρουσιάσει και καρδιαγγειακά επειδόσια όπως, στηθάγχη ή έμφραγμα. Να θυμάστε πως οι αιμορραγίες ιδίως από το στομάχι και τον οισοφάγο πολύ σπάνια προκαλούν πόνο και γι αυτό πολύ συχνά καθυστερεί ο ασθενής να πάει στο νοσοκομείο.

Τι προκαλεί αιμορραγία στο πεπτικό σύστημα;

Όλα τα όργανα που αποτελούν τον γαστρεντερικό σωλήνα μπορούν να αιμορραγήσουν. Δεν θα αναφερθώ σε αιμορραγίες του στοματοφάρυγγα γιατί με αυτά ασχολούνται κυρίως οι ωτορινολαρυγγολόγοι. Ας δούμε τα υπόλοιπα με τη σειρά:

ΟΙΣΟΦΑΓΟΣ: οι συχνότερες αιτίες είναι οι κιρσοί που είναι φλέβες διογκωμένες και παρατηρούνται κυρίως σε άτομα με κίρρωση του ήπατος. Η αιμορραγία από τους κιρσούς είναι σοβαρότατη και μπορεί να θέση σε σοβαρό κίνδυνο τη ζωή. Σπανιότερα βλέπουμε καρκίνο του οισοφάγου, οισοφαγίτιδα , έλκη του οισοφάγου (που προκαλούνται κυρίως λόγω παλινδρόμησης οξέος από το στομάχι). Σε αυτές τις περιπτώσεις η απώλεια αίματος είναι χρόνια και συνήθως εκδηλώνεται με αναιμία. Επίσης ακόμη πιο σπάνια μπορεί να παρατηρηθεί σχάση Mallory-Weiss, που προκαλείται στο κατώτερο μέρος του οισοφάγου όταν κάποιος κάνει εργώδεις εμέτους.

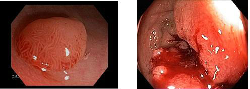
ΣΤΟΜΑΧΟΣ: Οι συχνότερες αιτίες αιμορραγίας είναι το έλκος στομάχου που οφείλεται ή στο ελικοβακτηρίδιο του πυλωρού ή σε λήψη αντιφλεγμονωδών φαρμάκων. Οι αιμορραγίες από έλκη μπορούν να είναι ήπιες αλλά και πολύ σοβαρές και ο ασθενής να βρεθεί σε κίνδυνο.Σπάνια σαν αιτία αιμορραγίας μπορεί να είναι η σοβαρή γαστρίτιδα, οι αγγειοδυσπλασίες, πολύποδες και άλλες καλοήθεις βλάβες. Χρόνια αναιμία και σπανιότερα οξεία μπορεί να προκαλέσει ο καρκίνος του στομάχου.

ΔΩΔΕΚΑΔΑΚΤΥΛΟ: Είναι το πρώτο τμήμα του λεπτού εντέρου και αποτελεί πολύ συχνά εστία αιμορραγίας γι αυτό και το περιγράφουμε ξεχωριστά. Η συχνότερη αιτία είναι το έλκος βολβού, για το οποίο ισχύει ότι και για το έλκος στομάχου.

ΛΕΠΤΟ ΕΝΤΕΡΟ : Δεν είναι πολύ συνηθισμένες οι αιμορραγίες απο το λεπτό έντερο. Οι αγγειοδυσπλασίες, οι όγκοι, οι πολύποδες και η νόσος του crohn είναι κάποιες από τις αιτίες.

ΠΑΧΥ ΕΝΤΕΡΟ: Είναι συχνές οι αιμορραγίες του παχέος εντέρου με κύριες αιτίες τα εκκολπώματα, τους πολύποδες, τον καρκίνο και τις αγγειοδυσπλασίες στις μεγαλύτερες ηλικίες ενώ στις νεότερες, την ελκώδη κολίτιδα , τη νόσο του crohn. Όλες αυτές οι καταστάσεις μπορούν να προκαλέσουν και οξεία και χρόνια απώλεια αίματος.

ΠΡΩΚΤΙΚΟΣ ΔΑΚΤΥΛΙΟΣ: Αιμορροϊδες και ραγάδες μπορούν να προκαλέσουν αιμορραγία.

Πως μπαίνει η διάγνωση

Όταν έχουμε οξεία αιμορραγία , ο γιατρός μπορεί να κατευθυνθεί από το ιστορικό και την κλινική εξέταση από που ξεκινάει η αιμορραγία. Σε κάποιες περιπτώσεις δεν είναι βέβαια ξεκάθαρο. Για το λόγο αυτό χρειάζεται πάντα έλεγχος. Ο έλεγχος περιλαμβάνει αιματολογικές εξετάσεις για τη διαπίστωση αναιμίας,εξέταση κοπράνων για τη διαπίστωση παρουσίας αίματος στο κόπρανα αν υπάρχει αμφιβολία, γαστροσκόπηση ή και κολονοσκόπηση και αν δεν βρεθεί αιτία θα χρειαστεί εντεροσκόπηση με κάψουλα. Πολλές φορές η απλή αξονική κοιλίας συμπληρώνει το έλεγχο ή χρειάζεται να γίνει αξονική κολονοσκόπηση. Σπάνια γίνεται διάβαση εντέρου με βάριο. Σε περιπτώσεις σοβαρής αιμορραγίας ενδέχεται να γίνει αγγειογραφία ή σπινθηρογράφημα για τον εντοπισμό της εστίας. Οι εξετάσεις κατευθύνονται αναλόγως των συμπτωμάτων και των ευρημάτων.

Πως αντιμετωπίζεται η αιμορραγία του πεπτικού;

Η αντιμετώπιση εξαρτάται από την αιτία και από το πόσο έντονα συμπτώματα έχει κάποιος. Η οξεία αιμορραγία είτε από τον οισοφάγο και το στομάχι είτε απο το παχύ και το λεπτό έντερο θέλει επειγόντως νοσηλεία γιατί μπορεί να κινδυνεύσει άμεσα η ζωή. Πρέπει να παρακολουθείται ο αιματοκρίτης, ενδερχομένως να χρειαστεί μετάγγιση αίματος, και έπειτα πρέπει να βρεθεί η αιτία για να σταματήσει η αιμορραγία. Αυτό γίνεται συνήθως κατά της διενέργεια της γαστροσκόπησης και της κολονοσκόπησης που με διάφορες τεχνικές όπως έγχυση ουσιών, καυτηριασμό, τοποθέτηση κλιπ, δακτυλίων κ. α. προσπαθούμε να σταματήσουμε την αιτία. Υπάρχουν φορές που χρειάζεται να επέμβει ακτινολόγος και να κάνει αγγειογραφία και να χορηγήσει με αυτή τη μέθοδο φάρμακο που σταματάει την αιμορραγία. Σε κάποιες περιπτώσεις η αιμορραγία μπορεί να μη σταματήσει και να χρειαστεί χειρουργική αντιμετώπιση.

Αν η αιμορραγία είναι χρονία, τότε η αντιμετώπιση εξαρτάται από τα συμπτώματά της. Αν τα συμπτώματα είναι σοβαρά θα χρειαστεί νοσηλεία, αν είναι ήπια μπορεί να διερευνηθεί και να αντιμετωπιστεί σε εξωτερική βάση.

Τι μπορώ να κάνω για να προλάβω μια αιμορραγία;

Δεν υπάρχουν πολλά πράγματα που μπορεί να κάνει κάποιος εκτός του να μη κάνει κατάχρηση μη στεροειδών αντιφλεγμονωδών φαρμάκων που προκαλούν έλκη. Επίσης θα πρέπει να γίνεται ο έλεγχος για την πρόληψη του καρκίνου του παχέος εντέρου στην ηλικία των 50 ετών χωρίς να περιμένει κάποιος να εμφανίσει συμπτώματα.







Τι πρέπει να θυμόμαστε για την αιμορραγία του πεπτικού συστήματος

Μία αιμορραγία μπορεί να είναι οξεία ή χρόνια.

Οποιοδήποτε τμήμα του πεπτικού μας μπορεί να αιμορραγήσει.

Τα συχνότερα αίτια είναι οι κιρσοί οισοφάγου, τα έλκη, τα εκκολπώματα, οι πολύποδες και ο καρκίνος.

Οι περισσότερες αιμορραγίες ΔΕΝ ΣΥΝΟΔΕΥΟΝΤΑΙ ΑΠΟ ΠΟΝΟ.

Η οξεία αιμορραγία μπορεί να έχει πολύ σοβαρές επιπτώσεις και να θέσει σε κίνδυνο τη ζωή μας.

Η ενδοσκόπηση είναι απαραίτητη για τη διάγνωση αλλά πολύ συχνά και τη θεραπεία της αιτίας της αιμορραγίας.

ΜΗΝ ΑΦΗΝΟΥΜΕ ΜΙΑ ΑΙΜΟΡΡΑΓΙΑ ΧΩΡΙΣ ΕΛΕΓΧΟ ΓΙΑΤΙ ΜΠΟΡΕΙ ΝΑ ΥΠΟΚΡΥΠΤΕΤΑΙ ΚΑΡΚΙΝΟΣ.


Επιστροφή